
矯正について
歯を抜いて行う矯正治療
矯正治療は歯を抜いて行う場合もあるということはご存知と思います。
歯と顎の大きさの度合いや顔貌や噛み合せ等も十分考慮し方針を決定します。
通常の矯正治療では小臼歯(4番目又は5番目の歯)の抜歯を行います。

1.小臼歯抜歯の場合
2.小臼歯以外の歯を抜歯する場合もあります
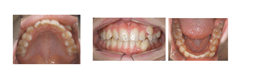
上の親知らずが萌出して噛み合わせに参加しています
矢印の歯を抜歯しましたが、
親知らずが萌出しています
歯を抜歯せずに矯正治療を行える場合もあります
大臼歯の後方への移動や歯列拡大を行います